Woman with long hair standing outdoors, smiling at the camera.

Smile Gallery

The image shows a person with a wide smile revealing yellowed teeth and a red lipstick mark on their upper lip, set against a plain background.

Before

The image shows a person with a wide smile revealing a set of white teeth, which appear to be crooked.

After

The image shows two photos of a person s mouth with teeth showing signs of decay and discoloration, likely due to poor oral hygiene or dental issues.

Before

The image shows a close-up view of a person s teeth and gums with visible yellowing and staining, suggesting poor oral hygiene or dental health issues.

After

The image displays a close-up of a person s face with a wide smile revealing teeth with braces, set against a neutral background.

Before

The image shows a close-up of an individual smiling with white teeth, wearing lipstick, and the person has facial hair.

After

This is a close-up photograph showing an open mouth with teeth and gums, displaying a smile with visible dental work, including braces.

Before

The image shows a close-up of a person s teeth with a focus on dental restoration work, featuring a white filling and a visible crown.

After

The image shows two close-up views of a person s teeth, displaying significant discoloration and staining, with one view showing more severe damage and decay compared to the other.

Before

The image shows a close-up view of a person s teeth with a focus on a large smile revealing multiple rows of white, straight teeth, some with yellowish stains at the gum line.

After

The image shows a close-up view of a person s teeth with a focus on an upper front tooth that appears to be discolored, possibly due to decay or staining, against a background of a mouth with other teeth and gums visible.

Before

The image shows two close-up photos of teeth with visible staining, set against different backgrounds.

After

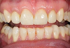
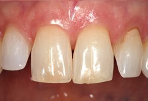
The image shows a close-up view of a person s teeth with visible signs of decay and discoloration, highlighting the need for dental care.

Before

The image shows a close-up of a person s teeth with a focus on a yellowish discoloration, possibly indicating poor oral hygiene or dental issues.

After

About Us

Our mission is to help every patient enjoy healthy teeth and a confident smile, providing care that meets your needs and exceeds expectations.